Las amalgamas son restauraciones dentales que reparan la pieza dental dañada por caries. Estas logran devolver la funcionalidad y la forma natural a la pieza. El especialista comienza por retirar todo el material infectado por la caries para posteriormente limpiarlo de manera profunda, luego de este proceso procede a realizar la obturación con el empaste de restauración …

Anna Rue
Anna Rue

We understand just how closely connected oral health is to your overall health.

Share:

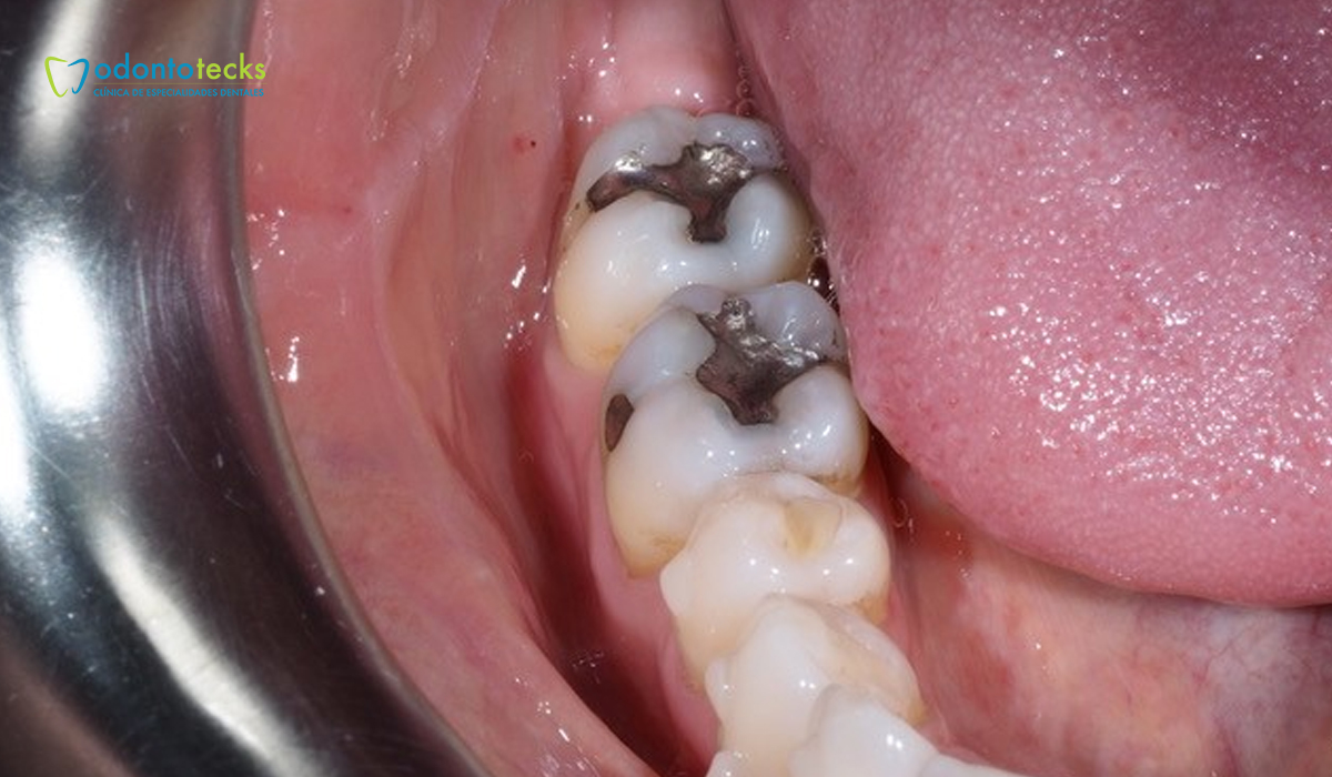
Las amalgamas son restauraciones dentales que reparan la pieza dental dañada por caries. Estas logran devolver la funcionalidad y la forma natural a la pieza. El especialista comienza por retirar todo el material infectado por la caries para posteriormente limpiarlo de manera profunda, luego de este proceso procede a realizar la obturación con el empaste de restauración indicado. Entre los principales materiales con los que la amalgama es realizada se encuentran metales como la plata, el mercurio, el estaño y el cobre.

El objetivo de rellenar los espacios es cerrar el paso para que las bacterias sigan desarrollándose y prevenir futuras caries. Entre las principales ventajas que la amalgama tiene están:

  • Prevención y detención del desarrollo de caries
  • Son fácil de manipular
  • Los materiales utilizados son perdurables
  • Tienen una amplia resistencia al desgaste y la fuerza que ejerce la masticación
  • Su sellado es recomendable

Todo lo que tenga un aspecto anormal tendrá que ser valorado y el tipo de tratamiento a seguir dependerá del daño que la caries haya causado. Si la caries ya ha afectado al nervio, las amalgamas no serán la mejor opción, el especialista indicará cual es el procedimiento a seguir si esto ocurre.

Gracias a su durabilidad, este tipo de empaste es usualmente la mejor opción para las caries que se desarrollan en las piezas posteriores las cuales requieren de mayor fuerza masticatoria. La amalgama se endurece en menor tiempo que otros empastes por los cual es ideal para colocarse en zonas que son difíciles de mantener secas durante la colocación, como por ejemplo en la línea de las encías. Este tipo de tratamiento suele ser indicado en pequeños ya que el tiempo para colocarla es inferior a otros.