La erosión dental es la pérdida del esmalte o esmalte y dentina provocado por el debilitamiento a un proceso químico.
La erosión dental es la pérdida del esmalte o esmalte y dentina provocado por el debilitamiento a un proceso químico ácido causado por agentes externos o internos al organismo, como alimentos o ácidos provenientes de la regurgitación o vómito, aunque también puede deberse a un excesivo cepillado de dientes.
El consumo frecuente de alimentos cítricos tales como el limón, naranja y toronja, además de vinagres, refrescos y vinos de mesa están relacionados con la erosión dental.
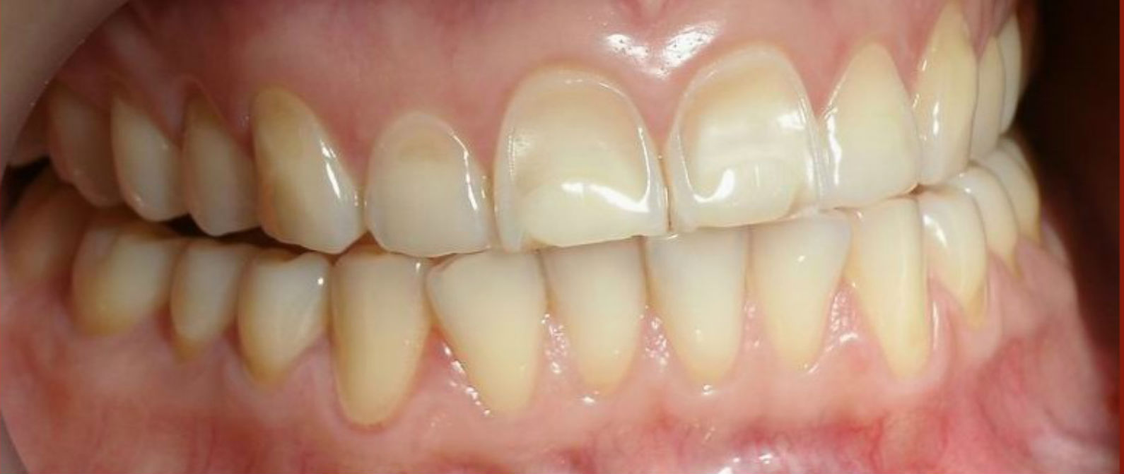
En sus inicios los dientes comienzan a presentar manchas opacas de color blanco, esto es debido a que empiezan a desmineralizarse los dientes o muelas. Posteriormente tomarán un color amarillento apagado y seguido de esto comenzará a desprenderse el esmalte dejando expuesta a la dentina provocando dolor intenso al cepillarse los dientes o inclusive al tocarlos con la uña.
Generalmente las principales zonas en donde se comienza a desprender el esmalte es en el límite donde inicia la encía, es decir en los cuellos dentales. Se comienza a ver y sentir un surco, en donde tendrás mayor sensibilidad al frio, calor y algunas veces a lo dulce.
Para prevenir que padezcas erosión dental te recomendamos consumir alimentos en su forma natural y no procesados, moderar el consumo de refrescos y bebidas alcohólicas, utilizar pastas y enjuagues bucales que contengan fluoruro.
Los tratamientos en consultorio pueden variar de acuerdo a lo avanzado o erosionado que se encuentre el esmalte, pero antes de iniciar cualquier procedimiento restaurativo se debe colocar un barniz de flúor o nitrato de potasio un par de veces para remineralizar los dientes y ya después escoger el tratamiento definitivo, que puede ir desde una resina hasta una carilla o corona para devolver al diente su forma y función.
Si sufres de ésta condición no pierdas tiempo y acude a Odontotecks.
Haz tu cita al 5638 1178 o déjanos tus datos.
[contact-form-7 id=”3415″ title=”Formulario de Contacto para Entradas”]




